Fotona Er:YAG NightLase® · Sydney

NightLase® Laser Snoring Treatment

Fotona's NightLase® therapy is a non-invasive, patient-friendly laser treatment designed to assist in improving sleep quality by targeting soft tissue laxity associated with snoring. Performed by qualified medical professionals in Sydney.

⚕ This is a medical treatment. Performed by qualified medical professionals only.

About This Treatment

A Non-Invasive Approach to Snoring Management

Fotona’s NightLase® therapy uses gentle Er:YAG laser energy delivered intraorally to the soft palate and surrounding tissue. The controlled thermal effect is designed to stimulate collagen tightening in these soft tissue structures, which may reduce their tendency to vibrate and partially obstruct the airway during sleep. Clinical studies have demonstrated improvements in snoring measures following the NightLase® protocol. This treatment is not a substitute for medical assessment of sleep-related breathing disorders. A medical consultation is required prior to treatment.

Key Benefits

Why Choose Fotona?

Advanced laser technology designed to deliver targeted, effective results

Non-Surgical Approach

No incisions, needles, or implants. The treatment is delivered via an intraoral handpiece designed to be comfortable and non-invasive.

Designed for Patient Comfort

The Er:YAG wavelength is well absorbed by oral mucosa, and the NightLase® protocol is designed to be tolerated without anaesthesia.

Clinically Studied Protocol

NightLase® has been the subject of peer-reviewed clinical studies examining its effect on snoring and mild sleep-disordered breathing.

Quick Sessions

Each session is designed to be completed in approximately 20–30 minutes, with no anticipated recovery period.

Minimal Impact on Daily Activities

The treatment does not require dietary restrictions. Normal speaking, eating, and drinking continue following sessions.

Medically Supervised

All patients undergo a medical assessment to determine suitability prior to commencement.

How it Works

Fotona's precise laser energy interacts with tissue at a cellular level.

01

Soft Tissue Targeting

Er:YAG laser energy is delivered to the collagen-rich soft tissue of the soft palate, designed to create a controlled thermal effect.

02

Tissue Tightening Response

The thermal effect is designed to cause collagen fibre contraction and stimulate new collagen production, aimed at firming the soft palate.

03

Reduced Vibration

Firmer soft palate tissue may vibrate less during sleep, potentially contributing to a reduction in snoring noise.

Areas Targeted

What Can Be Addressed

Fotona's versatile technology is designed for a wide range of concerns

Soft Palate

Oropharynx

Airway Tissue

Snoring Reduction

Uvula & Pharyngeal Walls

Sleep Quality

Throat Soft Tissue

Sleep Partner Comfort

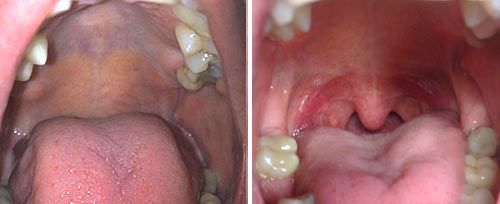
Before / after

NightLase Snoring Treatment

*Individual results vary. This treatment is not suitable for everyone. A consultation with a qualified practitioner is required prior to commencement.

Candidacy

Is This Treatment Right for You?

Suitability is assessed on an individual basis during your consultation. Our qualified practitioners will review your medical history, skin type, and specific concerns to determine whether this treatment may be appropriate for you.

This treatment may be of interest to you if you have concerns including:

The Treatment Process

Step 1

Consult & Assess

Our practitioners conduct a thorough assessment, discuss your concerns and medical history, and provide you with personalised advice before any treatment proceeds.

Step 2

Personalised Treatment

If suitable, your treatment is performed by a qualified professional using Fotona's precision laser technology. Parameters are tailored to your individual skin type and concerns.

Step 3

Aftercare & Review

You will receive specific aftercare instructions. Follow-up appointments allow our team to monitor your progress and adjust your plan as needed.

⚕ Results Disclaimer: Individual results vary. This treatment is not suitable for everyone. A consultation with a qualified practitioner is required prior to commencement. The information provided on this page is general in nature and does not constitute medical advice.

Frequently Asked Questions
(FAQs)

NightLase® may be considered for snoring and mild sleep-disordered breathing. Moderate to severe obstructive sleep apnoea requires formal medical assessment and management. Your practitioner will discuss suitability.

The standard NightLase® protocol involves a course of sessions. Your practitioner will provide the recommended schedule at consultation.
 
The procedure is designed to be comfortable and is generally well tolerated without anaesthetic.
 
Results may vary by individual. Your practitioner will discuss expected duration and maintenance session recommendations at your appointment.
 
Yes. A medical consultation is required prior to treatment to assess suitability and to rule out conditions that require alternative management.

Book a Medical Consultation for Snoring Assessment

Book a consultation at one of our Sydney locations. Our practitioners will assess your suitability and answer all your questions.

Individual results vary. A personalised consultation is required to assess suitability. This is not medical advice.

Consultation Request