Fotona Nd:YAG Laser · Sydney

Laser Treatment for Acne

Fotona's Nd:YAG laser may assist in the management of active acne by targeting overactive sebaceous glands and acne-associated bacteria. A non-pharmaceutical approach performed by qualified medical professionals in Sydney.

About This Treatment

A Non-Pharmaceutical Approach to Acne Management

Fotona’s precisely controlled Nd:YAG laser light is designed to safely penetrate into skin to target overactive sebaceous glands and reduce the activity of Propionibacterium acnes bacteria — factors associated with acne development. Clinical literature supports the use of Nd:YAG laser as part of a comprehensive acne management approach. Results vary by individual and treatment outcomes depend on acne type, severity, and adherence to your practitioner’s recommendations.

Key Benefits

Why Choose Fotona?

Advanced laser technology designed to deliver targeted, effective results

Targets Associated Factors

The laser is designed to reduce sebaceous gland activity and target acne-associated bacteria, addressing factors that contribute to breakouts.

Non-Pharmaceutical Approach

May be considered for patients seeking an alternative or adjunct to topical or oral acne medications, following practitioner assessment.

May Assist Active Breakouts

Clinical studies suggest potential benefit for inflammatory acne, including papules and pustules.

May Help Reduce Scarring

When managed early, laser treatment may assist in reducing the risk of acne scarring. Treatment of existing atrophic scarring may also be considered.

Suitable for Multiple Skin Tones

The Nd:YAG wavelength may be used across a range of skin tones, with settings adjusted for each individual.

No Systemic Medication Required

Unlike oral antibiotics or retinoids, this approach is localised and does not carry systemic medication-related risks.

How it Works

Fotona's precise laser energy interacts with tissue at a cellular level

01

Targeting Acne Bacteria

The laser's energy is absorbed by porphyrins produced by P. acnes bacteria, generating localised reactive oxygen species that may reduce bacterial activity.

02

Sebaceous Gland Effect

Thermal energy is designed to reduce the activity of overactive sebaceous glands, a contributing factor in acne formation.

03

Collagen Stimulation

The treatment may also stimulate collagen production, which may assist in improving the texture of acne-affected skin over time.

Areas of Concern

What Can Be Addressed

Fotona's versatile technology is designed for a wide range of concerns

Inflammatory Acne

Cystic Acne

Pustules & Papules

Oily Skin

Back & Chest Acne

Acne Scarring

Post-Inflammatory Marks

Acne-Prone Skin

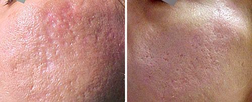
Before / after

*Individual results vary. This treatment is not suitable for everyone. A consultation with a qualified practitioner is required prior to commencement.

Candidacy

Is This Treatment Right for You?

Suitability is assessed on an individual basis during your consultation. Our qualified practitioners will review your medical history, skin type, and specific concerns to determine whether this treatment may be appropriate for you.

This treatment may be of interest to you if you have concerns including:

The Treatment Process

Step 1

Consult & Assess

Our practitioners conduct a thorough assessment, discuss your concerns and medical history, and provide you with personalised advice before any treatment proceeds.

Step 2

Personalised Treatment

If suitable, your treatment is performed by a qualified professional using Fotona's precision laser technology. Parameters are tailored to your individual skin type and concerns.

Step 3

Aftercare & Review

You will receive specific aftercare instructions. Follow-up appointments allow our team to monitor your progress and adjust your plan as needed.

⚕ Results Disclaimer: Individual results vary. This treatment is not suitable for everyone. A consultation with a qualified practitioner is required prior to commencement. The information provided on this page is general in nature and does not constitute medical advice.

Frequently Asked Questions

A typical course involves multiple sessions. The exact number and frequency are determined at consultation based on acne severity and individual response.
 
This may be combined with other evidence-based acne management approaches. Your practitioner will advise on the most appropriate combination for your situation.
 
Outcomes vary by acne type and severity. Hormonal acne may also require concurrent medical management. Your practitioner will discuss the most suitable approach.
 
The collagen stimulation associated with the treatment may assist with the appearance of shallow acne scars over a series of sessions.
 
Most patients experience mild temporary redness. Your practitioner will advise on expected recovery and aftercare.

Discuss Acne Laser Options at Your Consultation

Book a consultation at one of our Sydney locations. Our practitioners will assess your suitability and answer all your questions.

Individual results vary. A personalised consultation is required to assess suitability. This is not medical advice.

Consultation Request